Diş eti çekilmesi, diş kayıplarına kadar varabilen ve estetik kaygı oluşturan, ciddi bir sağlık sorunudur. Bu endişe verici sorunu önlemenin yolları yazımızda!
Diş Eti Çekilmesi Neden Olur, Ne İyi Gelir?
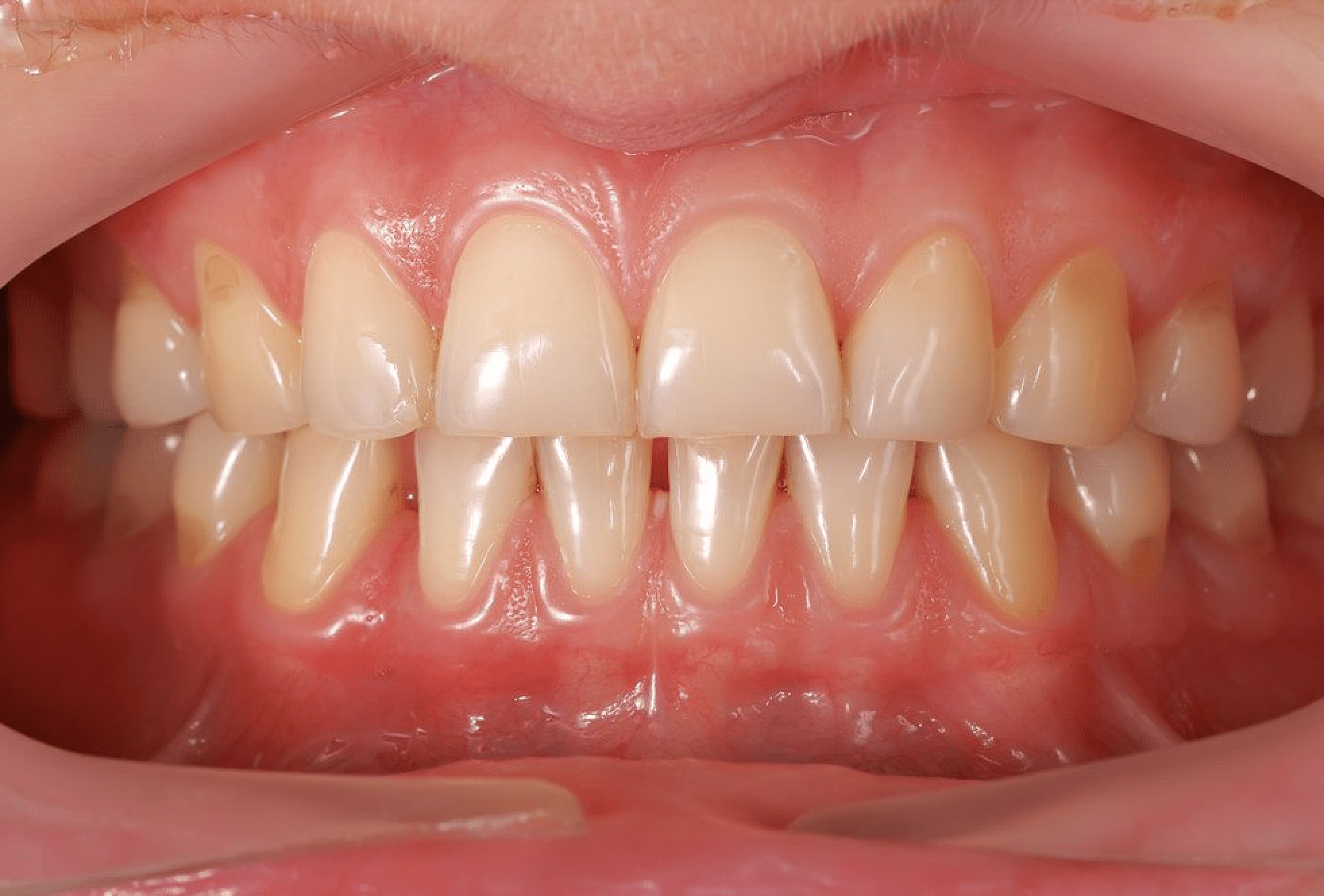
Diş eti çekilmesi, zaman içinde diş etlerinin damağa doğru kısalmasına denir. Bu sorun nedeniyle diş kökleri görünür hâle gelir ve dişler daha uzun gözükür. Bu, çeşitli faktörlere bağlı olarak gelişebilir ve ağrıya ve estetik problemlere yol açar. Diş eti çekilmesi, bireyin ağız sağlığını ciddi şekilde etkileyebilir ve bu durumun nedenleri ve çözüm yolları konusunda bilgi sahibi olmak, sağlıklı bir gülüşü korumak için önemlidir.
Diş Eti Çekilmesi Neden Olur?
Diş eti çekilmesi, diş köklerinin açığa çıkması durumu olarak tanımlanabilir. Bu sorun, yanlış diş fırçalama teknikleri, aşırı sert fırça kullanımı veya genetik faktörler gibi çeşitli sebeplerle tetiklenebilir. Ayrıca diş eti hastalıkları, hormonal değişiklikler, tütün ürünlerinin kullanımı da diş etlerinin çekilmesine neden olabilir. Diş eti çekilmesi belirtileri arasında, en belirgin olanı diş hassasiyetidir; aynı zamanda diş kökünün görünür olması ve dişler arasında artan boşluklar da bu problemin işaretleri arasında yer alır. Çekilme ilerledikçe, dişin kök kısmında çürükler ve enfeksiyonlar gibi ciddi komplikasyonlar meydana gelebilir, bu da diş kaybına kadar varan problemlere yol açabilir.
Ağız Hijyeninin Önemi
Diş eti çekilmesini önlemek için özellikle dişlerin doğru tekniklerle fırçalanması ve diş ipi kullanımı önemlidir. Bu rutinler, plak oluşumunu önleyerek diş etlerinin sağlıklı kalmasına yardımcı olabilir. Ayrıca, düzenli ağız hijyeni, diş eti çekilmesine yol açabilecek tartar birikiminin önüne geçebilir ve diş eti hastalıklarının gelişim riskini azaltabilir.
Sigara Kullanımından Kaçınma
Sigara ve diğer tütün ürünleri kullanımı, diş etlerinin sağlığını doğrudan olumsuz etkiler. Nikotin, diş etlerine kan akışını sınırlar ve bu durum, diş etlerinin kendilerini yenileme kapasitesini azaltır. Bu da diş eti çekilmesi ve diğer periodontal hastalıkların daha kolay gelişmesine olanak tanır. Sigarayı bırakmak, diş eti sağlığına olan bu zararları önemli ölçüde azaltabilir ve mevcut diş eti çekilmesinin ilerlemesini yavaşlatabilir.
Doğru Diş Fırçası Seçimi
Diş eti çekilmesiyle mücadelede diş fırçasının seçimi büyük bir rol oynar. Sert kıllı fırçalar, diş etlerinde tahribata ve bunun sonucunda daha fazla çekilmeye neden olabilir. Doğru diş fırçasını kullanmak, dişlerde ve diş etlerinde oluşabilecek zararları azaltabilir ve diş eti sağlığının uzun süre korunmasına katkıda bulunabilir.
Diş Eti Çekilmesine Ne İyi Gelir?
Diş eti çekilmesi tedavisi için kullanılacak yöntemler, kişinin diş eti sağlığındaki mevcut durumu ve ihtiyaçlarına bağlı olarak değişiklik gösterir. Tedavi seçenekleri, evde uygulanabilecek basit yöntemlerden diş hekimi tarafından gerçekleştirilecek profesyonel müdahalelere kadar geniş bir yelpazede yer alabilir.
Profesyonel Diş Temizliği
Diş hekimi tarafından yapılan düzenli diş temizlikleri, plak ve tartar birikimini azaltarak diş eti çekilmesinin önüne geçmeye yardımcı olabilir. Bu temizlikler sırasında, diş yüzeylerinde ve diş eti çizgisinin altında biriken zararlı bakteri tabakaları uzaklaştırılır. Bu işlem, diş eti çekilmesi riskini azaltmakla kalmaz, aynı zamanda mevcut durumun daha da kötüleşmesini önler ve diş eti hastalıklarına karşı koruma sağlar.
Diş Eti için Diş Macunu
Diş eti sorunlarına özel olarak geliştirilmiş diş eti için diş macunu kullanımı, diş etlerinin sağlığını destekleyebilir ve güçlendirebilir. Bu tarz diş macunları genellikle, diş etlerini yatıştıran, iltihabı azaltan ve bakteri oluşumunu önleyen özel içeriklere sahiptir.
Diş Eti Ameliyatı
Şiddetli diş eti çekilmesi durumlarında diş hekimleri tarafından diş eti çekilmesi ameliyatı önerilebilir. Bu tür cerrahi müdahaleler, çekilmiş diş eti bölgelerini onararak ve diş köklerini koruyarak ağız sağlığını iyileştirmeyi amaçlar. Ameliyat, diş eti dokusunu yeniden konumlandırarak veya gerektiğinde yeni doku ekleyerek yapılabilir, böylece diş etleri daha sağlıklı bir yapıya kavuşturulabilir. Bazı durumlarda diş eti çekilmesi için ilaç kullanmak da yeterli olabilir. (BSHA – Bilim ve Sağlık Haber Ajansı)

